Sigma-Aldrich
PCR 50-2,000 bp Marker
PhosphoDetect Anti-PKR (pThr451) Rabbit pAb
Anti-STAT1 (AB3) antibody produced in rabbit
PCR 20 bp Low Ladder
Nifedipine-CAS 21829-25-4-Calbiochem
Phosphate buffered saline
磷酸盐缓冲盐氳/p>
Anti-STAT5A (Ab-694) antibody produced in rabbit
Anti-STAT5A antibody produced in rabbit
Anti-phospho-Tau (pSer262) antibody produced in rabbit
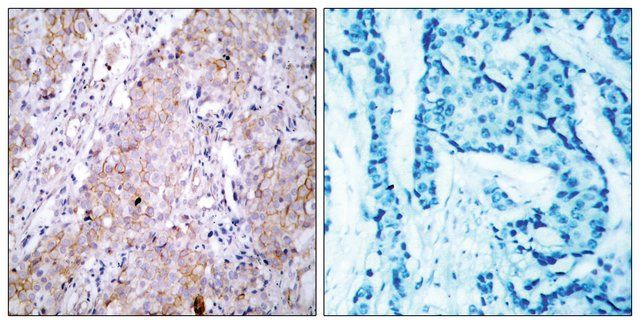
Anti-phospho-EGFR (pThr693) antibody produced in rabbit
Monoclonal Anti-EGFR antibody produced in mouse
Anti-EGFR antibody produced in rabbit
Anti-phospho-EGFR (pTyr1092) antibody produced in rabbit
Anti-EGFR Antibody, clone 225 (Azide-free)
Hyaluronidase from Bovine Testes
玻璃酸酶