Sigma-Aldrich
Isopore滤膜, IsoporeTMMembrane Filter
Screw cap tubes and caps with O-rings, self-standing
Glass Fiber Filter with binder
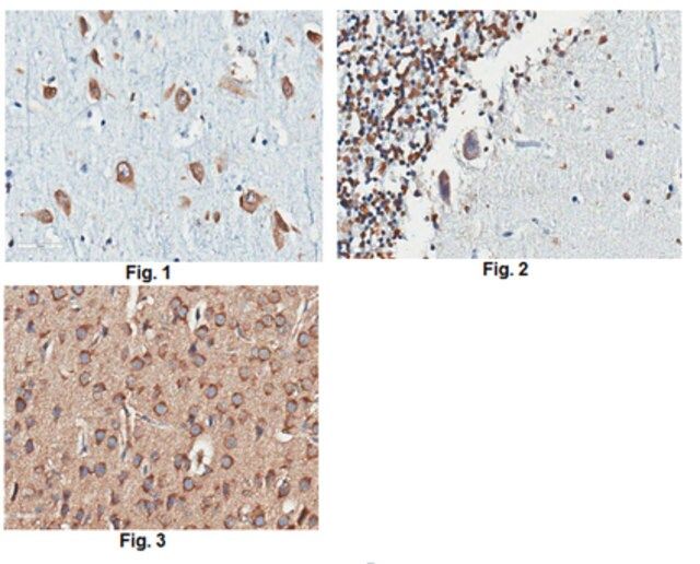
Anti-phospho-Aurora Kinase (pThr288) antibody produced in rabbit
Anti-AGTR1/AT1 antibody produced in goat
Anti-MAP Kinase, Activated (Diphosphorylated ERK-1&2) antibody, Mouse monoclonal
单克隆抗 MAP 激酶,活化的(二磷 ERK-1 2)
Anti-KIT antibody produced in rabbit
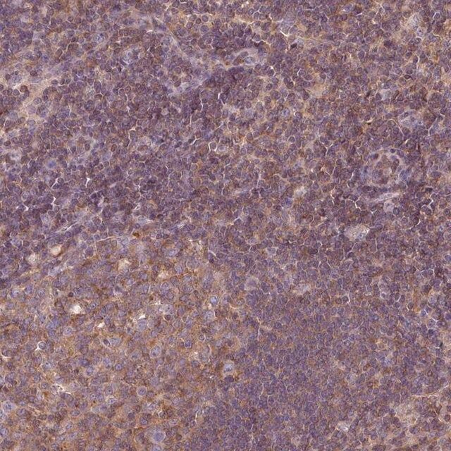
Anti-PKCζ Antibody, clone 14B12.3
Lena Biosciences GradientEZTM3D Cell Migration System
Anti-c-Fos Antibody, clone 2G9C3
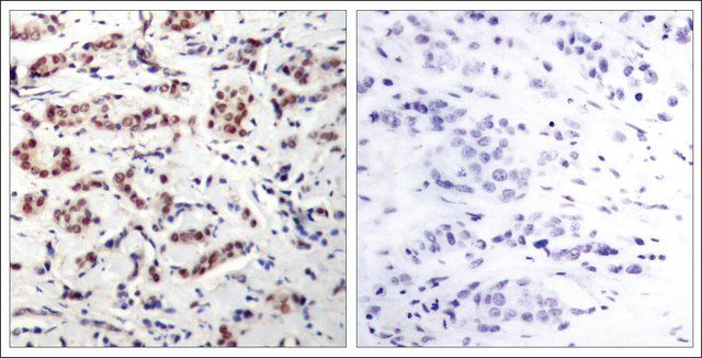
Anti-phospho-STAT5A (pTyr694) antibody produced in rabbit
Anti-STAT5A antibody produced in rabbit
TEMPOL-CAS 2226-96-2-Calbiochem