[ 登录] [ 免费注册]
试剂仪器? title=
位置9a href="//www.vuestras.com/sigma-aldrich/">首页> 品牌> Sigma-Aldrich> Anti-Tryptophan hydroxylase 1/TPH1 Antibody

Anti-Tryptophan hydroxylase 1/TPH1 Antibody

品牌
Sigma-Aldrich
货号
AB15570-I
规格纯度
from rabbit, purified by affinity chromatography
参考价栻/div>
5426.21 兂/span>*本价格含增值税贸/span>
促销
服务
  • ∙/span>原厂保证
  • ∙/span>包邮
  • ∙/span>增值税?/li>
数量
- +
产品名称9/div>
Anti-Tryptophan hydroxylase 1/TPH1 Antibody
Tryptophan 5-hydroxylase 1, Tryptophan 5-monooxygenase 1
产品介绍9/div>

产品说明

一般描?/p>

Tryptophan hydroxylase 1/TPH1, also known as Tryptophan 5-hydroxylase 1, also known as Tryptophan 5-monooxygenase 1, and encoded by the gene TPH1/TPH/TPRH/TRPH, is an important biosynthetic enzyme needed for serotonin synthesis from L-trytophan. TPH1 is responsible for the addition of the -OH grouip to 5-hydroxytryptophan which is the initial and rate limiting step in the synthesis of serotonin. Serotonin in a neurotransmitter and has an antidepressant effect on the brain. The activity of TPH1 is also modulated by phosphorylation Protein Kinase A is responsible for the phosphorylation of TPH1 and helps to modulate its activity in neurons. TPH1 is mostly expressed in tissues that express serotonin such as the brain, pineal gland, and CNS but also can be found in skin and intestinal tissues.

免疫厞/p>

KLH-conjugated linear peptide corresponding to the C-terminus of rat Tryptophan hydroxylase 1/TPH1.
Epitope: C-terminus

应用

This Anti-Tryptophan hydroxylase 1/TPH1 antibody is validated for use in western blotting & IHC (Paraffin) for the detection of Tryptophan hydroxylase 1/TPH1.
Research Category
Neuroscience
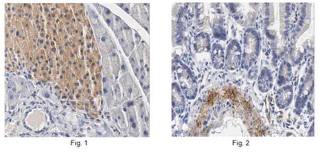
Immunohistochemistry Analysis: A 1:50-500 dilution from a representative lot detected Tryptophan hydroxylase 1/TPH1 in mouse pancreas and mouse colon tissue.
Immunohistochemistry Analysis: A 1:50 dilution from a representative lot detected Tryptophan hydroxylase 1/TPH1 in mouse cerebellum and mouse cerebral cortex tissue.
Research Sub Category
Developmental Signaling

质量

Evaluated by Western Blotting in P815 cell lysate.

Western Blotting Analysis: 2.0 ?g/mL of this antibody detected Tryptophan hydroxylase 1/TPH1 in 10 ?g of P815 cell lysate.

目标描述

~51 kDa observed

联系

Replaces: AB15570

外形

Purified rabbit polyclonal in buffer containing 0.1 M Tris-Glycine (pH 7.4), 150 mM NaCl with 0.05% sodium azide.
Affinity purified

储存及稳定?/p>

Stable for 1 year at 2-8C from date of receipt.

其他说明

Concentration: Please refer to the Certificate of Analysis for the lot-specific concentration.

免责声明

Unless otherwise stated in our catalog or other company documentation accompanying the product(s), our products are intended for research use only and are not to be used for any other purpose, which includes but is not limited to, unauthorized commercial uses, in vitro diagnostic uses, ex vivo or in vivo therapeutic uses or any type of consumption or application to humans or animals.

基本信息

eCl@ss 32160702

产品性质

生物来源 rabbit
质量水平 100
抗体形式 affinity isolated antibody
antibody product type primary antibodies
克隆 polyclonal
纯化方式 affinity chromatography
species reactivity mouse
species reactivity (predicted by homology) rat (based on 100% sequence homology)
technique(s) immunohistochemistry: suitable (paraffin)
western blot: suitable
NCBI登记叶/td> NP_001094104
UniProt登记叶/td> P09810
运输 wet ice

安全信息

储存分类代码 12 - Non Combustible Liquids
WGK WGK 1
闪点(F) Not applicable
闪点(C) Not applicable

Sigma-Aldrich

推荐产品
Baidu
map