产品说明
一般描?/p>
The gene PDCL3 (phosducin-like protein 3) is mapped to human chromosome 2q11.2. It belongs to the phosducin family of proteins. The protein is localized in the cytoplasm.
免疫厞/p>
Phosducin-like protein 3 recombinant protein epitope signature tag (PrEST)
应用
All Prestige Antibodies Powered by Atlas Antibodies are developed and validated by the Human Protein Atlas (HPA) project (www.proteinatlas.org)and as a result, are supported by the most extensive characterization in the industry.
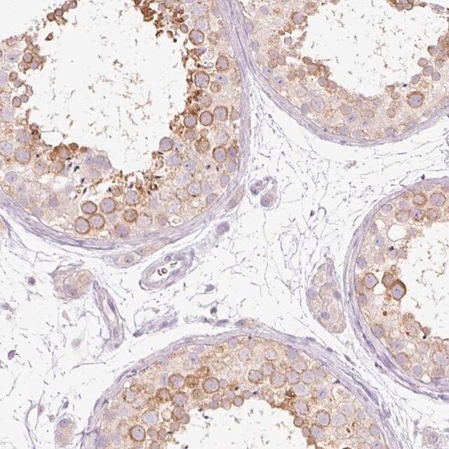
The Human Protein Atlas project can be subdivided into three efforts: Human Tissue Atlas, Cancer Atlas, and Human Cell Atlas. The antibodies that have been generated in support of the Tissue and Cancer Atlas projects have been tested by immunohistochemistry against hundreds of normal and disease tissues and through the recent efforts of the Human Cell Atlas project, many have been characterized by immunofluorescence to map the human proteome not only at the tissue level but now at the subcellular level. These images and the collection of this vast data set can be viewed on the Human Protein Atlas (HPA) site by clicking on the Image Gallery link. To view these protocols and other useful information about Prestige Antibodies and the HPA, visit sigma.com/prestige.
生化/生理作用
Phosducin-like protein 3 (PDCL3) is involved in activation of caspases, thereby inducing apoptosis. PDCL3 also participates in angiogenesis. PDCL3 interacts with and stabilizes VEGFR2 (vascular endothelial growth factor receptor 2), thereby inducing VEGFR2-dependent endothelial capillary tube formation and proliferation. PDCL3 binds CCT (Chaperonin containing Tcp1) and regulates cellular protein folding homeostasis in the eukaryotic cytosol.
特点和优劾/p>
Prestige Antibodies?are highly characterized and extensively validated antibodies with the added benefit of all available characterization data for each target being accessible via the Human Protein Atlas portal linked just below the product name at the top of this page. The uniqueness and low cross-reactivity of the Prestige Antibodies?to other proteins are due to a thorough selection of antigen regions, affinity purification, and stringent selection. Prestige antigen controls are available for every corresponding Prestige Antibody and can be found in the linkage section.
Every Prestige Antibody is tested in the following ways:
联系
Corresponding Antigen APREST74184.
外形
Solution in phosphate-buffered saline, pH 7.2, containing 40% glycerol and 0.02% sodium azide
法律信息
Prestige Antibodies is a registered trademark of sigma-aldrich Co. LLC
免责声明
Unless otherwise stated in our catalog or other company documentation accompanying the product(s), our products are intended for research use only and are not to be used for any other purpose, which includes but is not limited to, unauthorized commercial uses, in vitro diagnostic uses, ex vivo or in vivo therapeutic uses or any type of consumption or application to humans or animals.
基本信息
| 人类蛋白质图谱编叶/td> | HPA018469 Human Protein Atlas characterization data |
产品性质
| 生物来源 | rabbit |
| 质量水平 | 100 |
| 偶联?/td> | unconjugated |
| 抗体形式 | affinity isolated antibody |
| antibody product type | primary antibodies |
| 克隆 | polyclonal |
| 产品纾/td> | Prestige Antibodies?Powered by Atlas Antibodies |
| 形式 | buffered aqueous glycerol solution |
| species reactivity | human |
| 包装 | antibody small pack of 25 L |
| 增强验证 | recombinant expression Learn more aboutAntibody Enhanced Validation |
| technique(s) | immunoblotting: 0.04-0.4 g/mL immunofluorescence: 0.25-2 g/mL immunohistochemistry: 1:50-1:200 |
| 免疫原序刖/td> | IGPLVFGGMNLTRDELEWKLSESGAIMTDLEENPKKPIEDVLLSSVRRSVLMKRDSDSEGD |
| UniProt登记叶/td> | Q9H2J4 |
| 运输 | wet ice |
| 储存温度 | ?20ℂ/td> |
| Gene Information | human ... PDCL3(79031) |
安全信息
| 储存分类代码 | 10 - Combustible liquids |
| WGK | WGK 1 |
| 闪点(F) | Not applicable |
| 闪点(C) | Not applicable |
Sigma-Aldrich
