[ 登录] [ 免费注册]
试剂仪器? title=
位置9a href="//www.vuestras.com/sigma-aldrich/">首页> 品牌> Sigma-Aldrich> IgG4 (MRQ-44) Mouse Monoclonal Antibody

IgG4 (MRQ-44) Mouse Monoclonal Antibody

品牌
Sigma-Aldrich
货号
367M-1
包装型号
规格纯度
参考价栻/div>
2336.87 兂/span>*本价格含增值税贸/span>
促销
服务
  • ∙/span>原厂保证
  • ∙/span>包邮
  • ∙/span>增值税?/li>
数量
- +
产品名称9/div>
IgG4 (MRQ-44) Mouse Monoclonal Antibody
产品介绍9/div>

产品说明

一般描?/p>

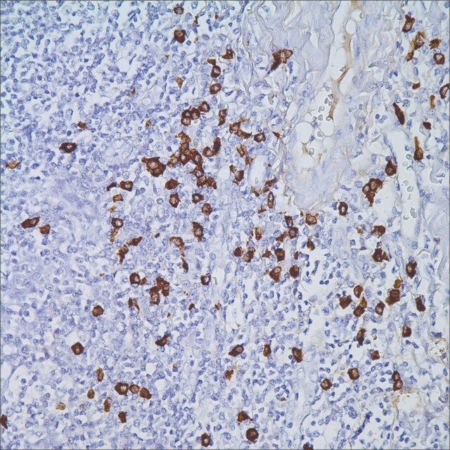
IgG4-related sclerosing disease has been recognized as a systemic disease entity characterized by an elevated serum IgG4 level, sclerosing fibrosis, and diffuse lymphoplasmacytic infiltration with the presence of many IgG4-positive plasma cells. Clinical manifestations are apparent in the pancreas, bile duct, gall bladder, lacrimal gland, salivary gland, retroperitoneum, kidney, lung, breast, thyroid, and prostate. Immunohistochemical analyses in the case of IgG4-related sclerosing disease not only exhibit significantly more than normal IgG4-positive plasma cells in affected tissues but also significantly higher IgG4/IgG ratios (typically > 30%).

质量


IVD

IVD

IVD

RUO

联系

IgG4 Positive Control Slides, Product No. 367S, are available for immunohistochemistry (formalin-fixed, paraffin-embedded sections).

外形

Solution in Tris Buffer, pH 7.3-7.7, with 1% BSA and <0.1% Sodium Azide

制备说明

Download the IFU specific to your product lot and format
Note: This requires a keycode which can be found on your packaging or product label.

Download the latest released IFU
Note: This IFU may not apply to your specific product lot.

其他说明

For Technical Service please contact: 800-665-7284 or email: service@cellmarque.com

法律信息

Cell Marque is a trademark of sigma-aldrich Co. LLC

基本信息

NACRES NA.41

产品性质

质量水平 500
100
生物来源 mouse
偶联?/td> unconjugated
抗体形式 culture supernatant
antibody product type primary antibodies
克隆 MRQ-44, monoclonal
描述 For In Vitro Diagnostic Use in Select Regions (See Chart)
形式 buffered aqueous solution
species reactivity human
包装 vial of 0.1 mL concentrate (367M-14)
vial of 0.5 mL concentrate (367M-15)
bottle of 1.0 mL predilute (367M-17)
vial of 1.0 mL concentrate (367M-16)
bottle of 7.0 mL predilute (367M-18)
manufacturer/tradename Cell Marque?
technique(s) immunohistochemistry (formalin-fixed, paraffin-embedded sections): 1:100-1:500
同位?亚型 IgG1
控制 tonsil
运输 wet ice
储存温度 2-8ℂ/td>
可视匕/td> cytoplasmic

Sigma-Aldrich

推荐产品
Baidu
map