[ 登录] [ 免费注册]
试剂仪器? title=
位置9a href="//www.vuestras.com/">首页> 品牌> Sigma-Aldrich> CD123 (6H6) Mouse Monoclonal Antibody

CD123 (6H6) Mouse Monoclonal Antibody

品牌
Sigma-Aldrich
货号
198M-1
包装型号
规格纯度
参考价栻/div>
2717.49 兂/span>*本价格含增值税贸/span>
促销
服务
  • ∙/span>原厂保证
  • ∙/span>包邮
  • ∙/span>增值税?/li>
数量
- +
产品名称9/div>
CD123 (6H6) Mouse Monoclonal Antibody
产品介绍9/div>

产品说明

一般描?/p>

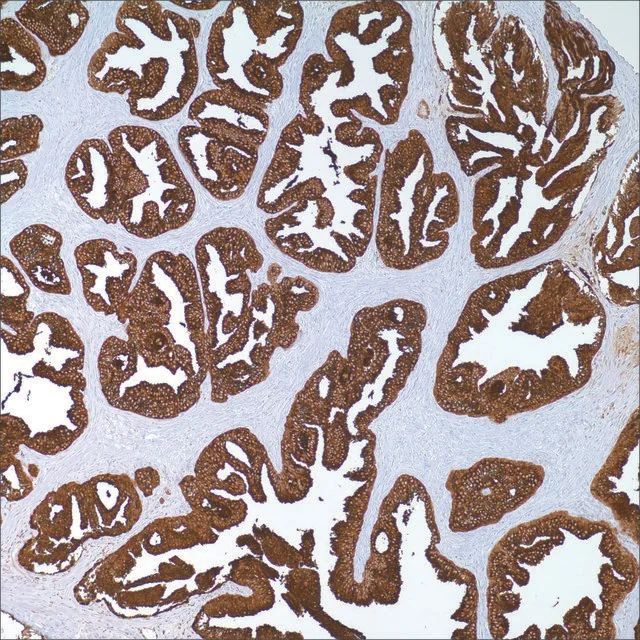
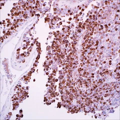
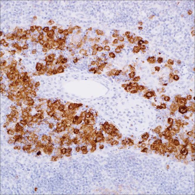
Blastic plasmacytoid dendritic cell neoplasm (BPDCN), previously known as CD4+/CD56+ hematodermic neoplasm or blastic NK-cell lymphoma, is a malignant neoplasm composed of immature hematopoietic precursors of plasmacytoid dendritic cells. The most frequent manifestation is a skin lesion, bone marrow involvement, and regional lymphadenopathy. Myeloid leukemia cutis (LC), myeloid sarcoma, and large aggressive B cell lymphomas should be differentiated from BPDCN. Recently, it has been reported that these entities can be distinguished by using immunohistochemistry (IHC) in paraffin-embedded tissue sections. In this study, 23 myeloid LC and 12 BPDCN cases were evaluated using a panel of antibodies against CD123, TCL1, CD4, CD56, MPO and CD33; with results as follows: anti-CD123 stained 4 cases (17%) of myeloid LC and 10 cases (83%) of BPDCN; anti-TCL-1 stained 2 cases (9%) of myeloid LC and 9 (82%) of 11 cases of BPDCN; anti-CD4 stained 2 cases (9%) of LC and all 12 cases (100%) of BPDCN; anti-CD56 stained 12 cases (52%) of LC and all 12 cases (100%) of BPDCN; anti-myeloperoxidase stained 7 cases (30%) of LC and 0 cases (0%) of BPDCN. Anti-CD33 was not helpful; it stained 18 (78%) cases of LC and 11 cases (92%) of BPDCN. The results indicated that a panel that includes antibodies against CD4, CD56, CD123, and TCL-1 can appropriately distinguish between myeloid LC and BPDCN.
CD123 IHC expression has been studied in 157 acute myeloid leukemia (AML) bone marrow biopsies and/or marrow particle preparations, and correlated with the morphologic, immunophenotypic, and cytogenetic features and with the presence of FLT3-ITD and NPM1 mutations. CD123 IHC expression has been seen in 40% of AML, across a wide spectrum of 2008 World Health Organization subtypes and was most frequent within the intermediate risk group. Compared with CD123 IHC negative AML, CD123 IHC positive AML demonstrated higher marrow blast percentages (median 69%), monocytic differentiation (33/63 cases), and CD34 negativity (29/63 cases). 83% (25/30) FLT3-ITD-mutated AML were CD123+ and 62% (18/29) NPM1-mutated cases were CD123 IHC+ (P=0.0052). CD123 IHC+AML presents with characteristic pathologic features, some of which may be related to underlying FLT3-ITD and/or NPM1 mutations.

质量


IVD

IVD

IVD

RUO

联系

CD123 Positive Control Slides, Product No. 198S, are available for immunohistochemistry (formalin-fixed, paraffin-embedded sections).

外形

Solution in Tris Buffer, pH 7.3-7.7, with 1% BSA and <0.1% Sodium Azide

制备说明

Download the IFU specific to your product lot and format
Note: This requires a keycode which can be found on your packaging or product label.

Download the latest released IFU
Note: This IFU may not apply to your specific product lot.

其他说明

For Technical Service please contact: 800-665-7284 or email: service@cellmarque.com

法律信息

Cell Marque is a trademark of sigma-aldrich Co. LLC

基本信息

NACRES NA.41

产品性质

质量水平 500
100
生物来源 mouse
偶联?/td> unconjugated
抗体形式 culture supernatant
antibody product type primary antibodies
克隆 6H6, monoclonal
描述 For In Vitro Diagnostic Use in Select Regions (See Chart)
形式 buffered aqueous solution
species reactivity human
包装 vial of 0.1 mL concentrate (198M-14)
vial of 0.5 mL concentrate (198M-15)
bottle of 1.0 mL predilute (198M-17)
vial of 1.0 mL concentrate (198M-16)
bottle of 7.0 mL predilute (198M-18)
manufacturer/tradename Cell Marque?
technique(s) immunohistochemistry (formalin-fixed, paraffin-embedded sections): 1:25-1:100
同位?亚型 IgG1
控制 blastic plasmacytoid dendritic cell neoplasm
运输 wet ice
储存温度 2-8ℂ/td>
可视匕/td> cytoplasmic

安全信息

储存分类代码 12 - Non Combustible Liquids
WGK WGK 2
闪点(F) Not applicable
闪点(C) Not applicable

Sigma-Aldrich

推荐产品
Baidu
map