[ 登录] [ 免费注册]
试剂仪器? title=
位置9a href="/">首页> 试剂及耗材>
Anti BRAF(V600E)小鼠单抗
Anti BRAF(V600E)小鼠单抗图片
型号: BRaf(V600E)
货号: 26039
品牌: NewEast Biosciences
参考价栻 4800??/td>
包装: 100微升
交货朞 现货


包装与价格:
订货叶/td> 纯度规格 包装 价格(?
26039 100微升 4800
产品介绍

背景介绍:B-Raf is a member of the Raf family of Ser/Thr protein kinases. It functions downstream of Ras to regulate the MAP kinase signaling pathway. Mutations in the BRAF gene cause diseases. Inherited mutations in BRAF cause cardiofaciocutaneous syndrome. Acquired mutations in BRAF have been found in cancers
免疫厞A synthetic peptide from the internal region of BRaf(V600E), human origin
经过测试的应?ELISA, WB, IHC, IP

Western blot analysis of recombinant B-raf proteins with anti-BRaf(V600E) antibody.

Purified His tagged B-Raf( V600E ) ?amino acids 513-693)(lane1) ? corresponding wild type protein(lane 2), His tagged B-Raf( V600D ) (lane 3) , His tagged B-Raf( V600A ) (lane 4) , His tagged B-Raf( V600G ) (lane 5) , His tagged B-Raf( V600K ) (lane 6), His tagged B-Raf( V600R ) (lane 7), and His tagged B-Raf( V600M ) (lane 8) were blotted with anti-B-Raf(V600E) monoclonal antibody (Cat. # 26039) .

免疫荧光:

Immunofluorescence of cell expressing BRaf protein with anti-BRaf(V600E) antibody . HEK293T cells were transfected with pCDNA3-GFP- B-Raf( V600E )plasmid,pCDNA3-GFP- B-Raf( WT )plasmid, pCDNA3-GFP- B-Raf( V600K )plasmid,pCDNA3-GFP- B-Raf( V600R )plasmid, pCDNA3-GFP- B-Raf( V600A )plasmid,pCDNA3-GFP- B-Raf( V600D ) plasmid, pCDNA3-GFP-B-Raf(V600M)plasmid, or pCDNA3-GFP-B-Raf(V600G)plasmid, then fixed and stained with anti-B-Raf(V600E) monoclonal antibody (Cat. # 26039).

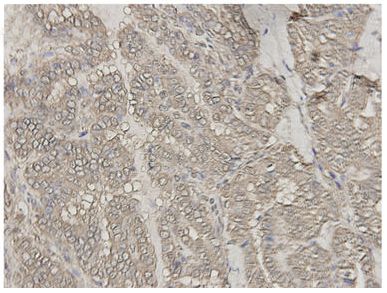
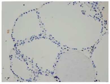
Immunohistochemistry:

B-Raf(V600E) monoclonal antibody (Cat. # 26039). Tissue samples were fixed with formaldehyde and blocked with 1% serum for 15 min at 37 °C. Antigen retrieval was by heat mediation in citrate buffer (pH6). Samples were then incubated with primary antibody (1: 100) overnight at 4°C. A HRP-conjugated Goat anti-mouse IgG (dilution 1: 50) was used as secondary antibody.


Immunohistochemical analysis of paraffin-embedded Thyroid Carcinoma tissue -with anti-BRaf (V600E) monoclonal antibody (Cat. # 26039). Tissue samples were fixed with paraffin. Samples were then incubated with primary antibody (1: 100) overnight at 4°C. An HRP-conjugated Goat anti-mouse IgG (dilution 1: 50) was used as the secondary antibody. Allele-specific PCR validated to be Negative for BRAF V600E.

Immunohistochemical analysis of paraffin-embedded Thyroid Carcinoma tissue -with anti BRaf(V600E) monoclonal antibody (Cat. # 26039). Tissue samples were fixed with paraffin. Samples were then incubated with primary antibody (1: 100) overnight at 4°C.A HRP-conjugated Goat anti-mouse IgG (dilution 1: 50) was used as secondary antibody.Allele specific PCR validated to be Negative for BRAF V600E.



武汉费斯德生物科技有限公司
电话:点击&查看
联系亹 黎敏
地址: 武汉东湖新技术开发区高新大道666号武汉国家生物产业基地项?生物创新?B.C.D区研发楼B3-3?楻/span>
同品牌产品:
猜您感兴趢/div>
换一扸/a>
来访登记
关闭
请留下您的联系方式,登记完成即可查看电话与供应商联系,或等候供应商联系您、/div>
留言类型9/div>
*姓名9/div>
*电话9/div>
*单位9/div>
Email9/div>
*留言内容9/div>
请说明需求数量,型号规格以及纯度含量等要求
*验证码:
Baidu
map