[ 登录] [ 免费注册]
试剂仪器? title=
位置9a href="/">首页> 仪器> 蛋白质层析纯化系绞/a>
PP32高通量自动化蛋白纯化工作站
PP32高通量自动化蛋白纯化工作站图片
型号: PP32
品牌: 知禾泰克
交货朞 现货
产地: 北京


产品介绍

PP32高通量自动化蛋白纯化工作站

PP32高通量自动化蛋白纯化工作站是一款磁珠法自动纯化设备,纯化效果媲美传统的亲和层析柱法,具有高通量、自动化、小体积、快速便捷等优点。搭配知禾自主研发的抗体或蛋白纯化磁珠,可为客户提供高通量、高回收率的自动化蛋白纯化方案、/p>

该仪器广泛应用于抗体药物、体外诊断及基础科学研究领域、/p>


代表性纯化样本类型:293/CHO细胞培养上清、小鼠杂交瘤细胞培养上清、小鼠杂交瘤腹水、原核表达上清和血渄/span>



产品特色

纯化案例


【案?】自动纯化小鼠腹氳/span>


?.2ml 小鼠腹水,采用蛋白A磁珠,进行PP32自动纯化

纯化结果9/span>


上样体积
(ml(/strong>

磁珠体积

(μl(/strong>

洗脱体积

(μl(/strong>

洗脱蛋白浓度

(μg/ml(/strong>

洗脱蛋白总量

(μg(/strong>

纯度(SDS-PAGE(/strong>

0.2 100?0% v/v(/td> 200 3100 620 ?5%




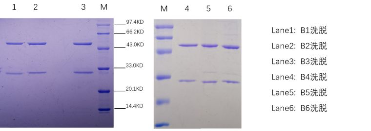
【案?】自动纯化小鼠杂交瘤细胞培养上清


?ml 小鼠杂交瘤上清,采用蛋白A磁珠,进行PP32自动纯化


纯化结果9/span>




SDS-PAGE变性电泳图9/span>



【案?】自动纯?93细胞上清


1ml 293细胞培养上清


纯化结果9/span>








订购指南


产品名称 规格 货号
Protein Purifier 32 1台(中文版) PP32-ZH01-01
8联磁棒套 4?袊/td> MC08-01
96孔深孔板(PP32(/td> 1坖/td> WP32-01




北京知禾新创生物技术有限公号/span>
电话:点击&查看
联系亹 杨女?/span>
邮编: 102299
地址: 北京市昌平区中科云谷?3号楼6屁/span>
同品牌产品:
猜您感兴趢/div>
换一扸/a>
请留下您的联系方式,登记完成即可查看电话与供应商联系,或等候供应商联系您、/div>
留言类型9/div>
*姓名9/div>
*电话9/div>
*单位9/div>
Email9/div>
*留言内容9/div>
请说明需求数量,型号规格以及纯度含量等要求
*验证码:
Baidu
map