抗体 >> 其他抗体
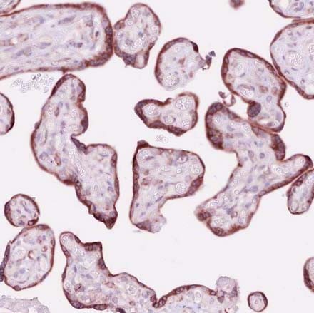
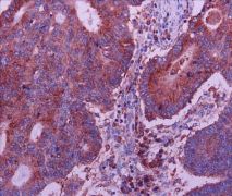
鸟苷酸环化酶α2/GCS-α-2抗体
|
交货朞 1?/span>
索取资料及报件/span>
产品介绍
靶标9p style="text-indent: 2em;">GUCY1A2
产品别名9p style="text-indent: 2em;">GC-SA2 GUC1A2 GUCY1A2 guanylate cyclase 1 soluble subunit alpha 2 guanylate cyclase 1 soluble subunit alpha 2 guanylate cyclase soluble subunit alpha-2 GCS-alpha-2 guanylate cyclase 1, soluble, alpha 2 鸟苷酸环化酶α2/GCS-α-2 背景信息9div style="text-indent: 2em;">Guanylate cyclases belong to the adenylyl cyclase class-4 guanylyl cyclase family. There are two forms of guanylate cyclase. The soluble form, known as GCS or sGC, act as receptors for nitric oxide (NO). The membrane-bound receptor form, known as GC, are peptide hormone receptors. GCS is a cGMP-synthesizing enzyme, which is the major receptor for the neurotransmitter nitric oxide. It plays a crucial role in smooth muscle contractility, platelet reactivity and neurotransmission. GCS is a heme-containing heterodimer, consisting of one alpha subunit and one beta subunit. The heme moeity mediates NO activation, and this heme group also binds carbon monoxide (CO), which weakly stimulates the enzyme. Both NO and CO stimulation are enhanced by the allosteric activator 3-(5'-hydroxymethyl-2'furyl)-benzyl-indazole, YC-1. YC-1 can also stimulate GCS in a NO-independent manner. Both alpha and beta subunits are required for cGMP generation, and at least two isoforms exist for each subunit. Heterodimers consisting of alpha-1 beta-1 and alpha-2 beta-1 have been identified, and both display similar enzymatic activity. The distribution of the beta-2 subunit seems to be much more restricted than the beta-1 subunit, with predominant expression in kidney and liver. 宿主:Rbt |
相关产品
|



