您的位置:首页 > 半岛bd体育手机客户端
中心 > Anti-PDH
Anti-PDH

半岛bd体育手机客户端
别名
Anti-PDH
Pyruvate dehydrogenase E1 component subunit alpha, somatic form, mitochondrial, PDHE1-A type I, Pyruvate dehydrogenase E1 component subunit beta, mitochondrial, PDHE1-B
基本信息
| eCl@ss | 32160702 |
| General description【一般描述】 | Pyruvate dehydrogenase E1 component subunits alpha and beta, mitochondrial (EC 1.2.4.1; UniProt P08559 and P11177; also known as PDHE1-A type I and PDHE1-B, respectively) are encoded by the PDHA1 (also known as PDHA, PDHAD, PHE1A) and the PDHB (also known as PDHBD, PHE1B) genes (Gene ID 5160 and 5162, respectively) in human. The pyruvate dehydrogenase (PDH) complex catalyzes the overall, irreversible conversion of pyruvate to acetyl-CoA and CO2, and thereby links the glycolytic pathway to the tricarboxylic cycle. This complex contains multiple copies of three enzymatic components: PDH (E1 or PDHE1-A type I), dihydrolipoamide acetyltransferase (E2), and lipoamide dehydrogenase (E3). PDH (E1) performs the first two reactions within the PDH complex: a decarboxylation of pyruvate and a reductive acetylation of lipoic acid. Lipoic acid is covalently bound to dihydrolipoamide acetyltransferase (E2), which is the second catalytic component enzyme of PDC. The reaction catalyzed by PDH (E1) is considered to be the rate-limiting step for the PDH complex. PDH is regulated by both pyruvate dehydrogenase kinase (PDK)-mediated phosphorylation and feedback inhibition. Phosphorylation at Ser-232, Ser-293 and Ser-300 by PDK family kinases inactivates the enzyme; for this phosphorylation at a single site is sufficient. Dephosphorylation at all three sites, Ser-232, Ser-293, and Ser-300, is required for reactivation. PDH (E1) deficiency has been linked to primary lactic acidosis in children. |
| Specificity【特异性】 | This polyclonal antiserum detects both PDH alpha and beta subunits (Pliss, L., et al. (2004). Neurochem. 91(5):1082-1091). |
| Immunogen【免疫原】 | Co-expressed recombinant full-length mature human PDH E1 alpha and beta subunits. |
| Application【应用】 | Immunocytochemistry Analysis: A 1:300 dilution from a representative lot detected PDH immunoreactivity in 4% paraformaldehyde-fixed, 1% Triton X-100-permeabilized BE(2)C human neuroblastoma cells (Courtesy of Professor Mulchand S. Patel, Ph.D., SUNY Buffalo, NY, U.S.A). Western Blotting Analysis: A 1:4,000 dilution from a representative lot detected endogenous PDH alpha and beta subunits in 50 µg of mouse liver tissue lysate as well as 50 ng of purified recombinant human PDH alpha and beta subunits (Courtesy of Professor Mulchand S. Patel, Ph.D., SUNY Buffalo, NY, U.S.A). Immunofluorescence Analysis: A representative lot immunostained oocytes in Bouins fluid-fixed, paraffin-embedded sections of mouse ovaries. A loss of oocyte PDH immunostaining was observed in ovaries from transgenic mice carrying homozygous floxed Pdha1 alleles and zona pellucida protein-3 (Zp3) promoter-driven Cre expression to allow oocyte-specific Pdha1 deletion (Johnson, M.T., et al. (2007). Biol Reprod. 77(1):2-8) Immunohistochemistry Analysis: A representative lot immunostained neural cells in paraplast-embedded brain microtome sections from Bouins fluid-perfused mice. A marked increase in cells with low PDH immunostaining was observed in brain from transgenic mice carrying heterozygous floxed Pdha1 allele and nestin promoter-driven Cre expression to allow brain tissue-specific Pdha1 deletion (Pliss, L., et al. (2004). Neurochem. 91(5):1082-1091). Western Blotting Analysis: A representative lot detected reduced level of PDH alpha & beta subunits in brain, but not liver, tissue from transgenic mice carrying heterozygous floxed Pdha1 allele and nestin promoter-driven Cre expression to allow brain tissue-specific Pdha1 deletion (Pliss, L., et al. (2004). Neurochem. 91(5):1082-1091). Research Category Signaling Detect Pyruvate dehydrogenase E1 component subunit alpha, somatic form, mitochondrial using this rabbit polyclonal Anti-PDH, Cat. No. ABS2082, validated for use in Immunocytochemistry, Immunofluorescence, Immunohistochemistry, and Western Blotting. |
| Quality【质量】 | Evaluated by Western Blotting in human brain. Western Blotting Analysis: A 1:2,000 dilution of this antibody detected PDH alpha and beta subunits in 10 µg of human whole brain tissue lysate. |
| Physical form【外形】 | Unpurified. Rabbit polyclonal antibody serum with 0.05% sodium azide. |
| Other Notes【其他说明】 | Concentration: Please refer to lot specific datasheet. |
半岛bd体育手机客户端
性质
| biological source【生物来源】 | rabbit |
| Quality Level【质量水平】 | 100 |
| antibody form【抗体形式】 | serum |
| antibody product type | primary antibodies |
| clone【克隆】 | polyclonal |
| species reactivity | mouse, human |
| technique(s) | immunocytochemistry: suitable immunofluorescence: suitable immunohistochemistry: suitable western blot: suitable |
| NCBI accession no.【NCBI登记号】 | NP_000275 NP_000916 |
| UniProt accession no.【UniProt登记号】 | P08559 P11177 |
| shipped in【运输】 | dry ice |
半岛bd体育手机客户端
说明
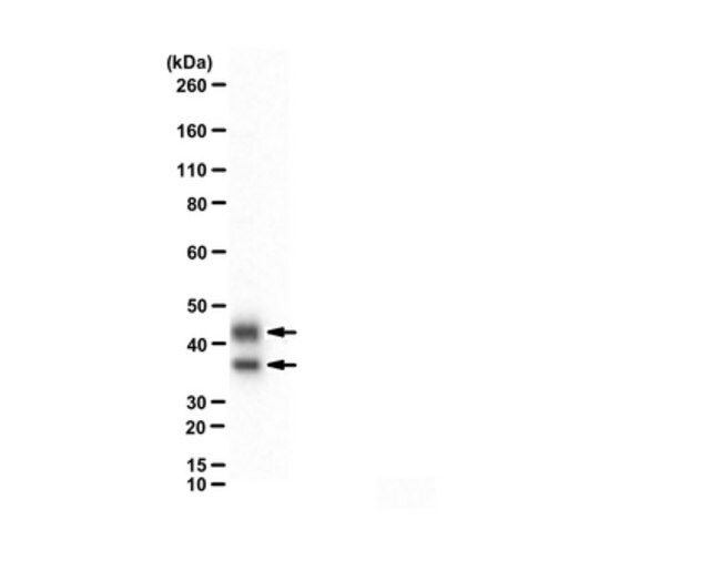
| Target description【目标描述】 | ~43/37 kDa observed. 40.08/35.90 kDa (human alpha/beta subunit; transit peptide removed; UniProt P08559/P11177), 40.18/35.77 kDa (mouse alpha/beta subunit; transit peptide removed; UniProt P35486/Q9D051) Uncharacterized bands may be observed in some lysate(s). |
| Storage and Stability【储存及稳定性】 | Stable for 1 year at -20°C from date of receipt. Handling Recommendations: Upon receipt and prior to removing the cap, centrifuge the vial and gently mix the solution. Aliquot into microcentrifuge tubes and store at -20°C. Avoid repeated freeze/thaw cycles, which may damage IgG and affect product performance. |
| Disclaimer【免责声明】 | Unless otherwise stated in our catalog or other company documentation accompanying the product(s), our products are intended for research use only and are not to be used for any other purpose, which includes but is not limited to, unauthorized commercial uses, in vitro diagnostic uses, ex vivo or in vivo therapeutic uses or any type of consumption or application to humans or animals. |
安全信息
| Storage Class Code【储存分类代码】 | 12 - Non Combustible Liquids |
| WGK | WGK 1 |






