您的位置:首页 > 半岛bd体育手机客户端
中心 > Anti-OXCT1 antibody produced in rabbit
Anti-OXCT1 antibody produced in rabbit

半岛bd体育手机客户端
别名
Anti-OXCT1 antibody produced in rabbit
OXCT
OXCT1
SCOT
半岛bd体育手机客户端
性质
| biological source【生物来源】 | rabbit |
| Quality Level【质量水平】 | 100 |
| antibody form【抗体形式】 | affinity isolated antibody |
| antibody product type | primary antibodies |
| clone【克隆】 | polyclonal |
| form【形式】 | buffered aqueous solution |
| mol wt【分子量】 | 13 56 |
| species reactivity | rat, human, mouse |
| concentration【浓度】 | 3.7 mg/ml |
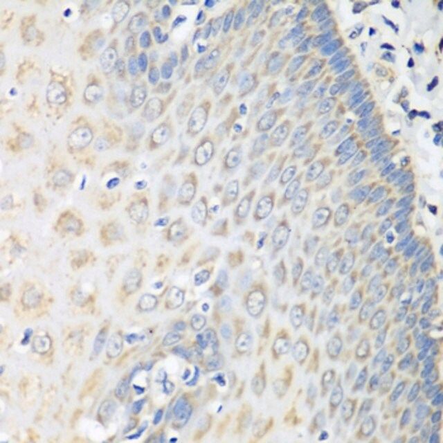
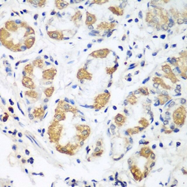
| technique(s) | immunohistochemistry: 1:50-1:100 western blot: 1:500-1:2000 |
| UniProt accession no.【UniProt登记号】 | P55809 |
| shipped in【运输】 | wet ice |
| storage temp.【储存温度】 | −20℃ |
| Gene Information | human ... OXCT1(5019) |
基本信息
| General description【一般描述】 | This gene encodes a member of the 3-oxoacid CoA-transferase gene family. The encoded protein is a homodimeric mitochondrial matrix enzyme that plays a central role in extrahepatic ketone body catabolism by catalyzing the reversible transfer of coenzyme A from succinyl-CoA to acetoacetate. Mutations in this gene are associated with succinyl CoA:3-oxoacid CoA transferase deficiency. |
| Immunogen【免疫原】 | Recombinant fusion protein containing a sequence corresponding to amino acids 261-520 of human OXCT1 (NP_000427.1). |
| Physical form【外形】 | PBS with 0.02% sodium azide,50% glycerol,pH7.3. |
半岛bd体育手机客户端
说明
| Storage and Stability【储存及稳定性】 | Store at -20℃. Avoid freeze / thaw cycles. |
安全信息
| Storage Class Code【储存分类代码】 | 12 - Non Combustible Liquids |
| WGK | WGK 1 |







