您的位置:首页 > 半岛bd体育手机客户端
中心 > Anti-Nitric Oxide Synthase, Inducible antibody, Mouse monoclonal
Anti-Nitric Oxide Synthase, Inducible antibody, Mouse monoclonal

| 半岛bd体育手机客户端 编号: | 4111081 |
| 规格: | clone NOS-IN, purified from hybridoma cell culture |
| 包装规格: | 100 μL |
| 半岛bd体育手机客户端 类别: | 进口试剂 |
| 品牌: | Sigma-Aldrich |
| 优惠价: | 立即咨询 |
半岛bd体育手机客户端
别名
Anti-Nitric Oxide Synthase, Inducible antibody, Mouse monoclonal
Anti-Peptidyl-cysteine S-nitrosylase NOS2
Anti-NOS type II
Anti-Hepatocyte NOS (HEP-NOS)
Anti-Inducible NOS (iNOS)
半岛bd体育手机客户端
性质
| Quality Level【质量水平】 | 200 |
| biological source【生物来源】 | mouse |
| antibody form【抗体形式】 | purified from hybridoma cell culture |
| antibody product type | primary antibodies |
| clone【克隆】 | NOS-IN, monoclonal |
| form【形式】 | buffered aqueous solution |
| mol wt【分子量】 | ~130 kDa |
| species reactivity | mouse, human, rat, plant |
| concentration【浓度】 | ~1.0 mg/mL |
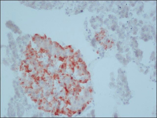
| technique(s) | flow cytometry: suitable immunoblotting: 2-4 μg/mL using mouse macrophage RAW 264.7 cell line activated with lipopolysaccharide (LPS) and interferon-γ immunohistochemistry: 10-20 μg/mL using heat-retrieved formalin-fixed, paraffin-embedded human pancreas sections |
| isotype【同位素/亚型】 | IgG1 |
| UniProt accession no.【UniProt登记号】 | P35228 |
| shipped in【运输】 | dry ice |
| storage temp.【储存温度】 | −20℃ |
| Gene Information | mouse ... Nos2(18126) |
基本信息
| General description【一般描述】 | Anti-Nitric Oxide Synthase, Inducible antibody, Mouse monoclonal (mouse IgG1 isotype) is derived from the NOS-IN hybridoma, produced by the fusion of mouse myeloma cells and splenocytes from BALB/c mouse. Inducible-type nitric oxide synthase (NOS) of mouse macrophage origin (iNOS) or macrophage NOS (mNOS) is a type II NOS (NOS2). It is a Ca2+-independent protein, expressed in activated macrophages and some glial cells after stimulation. NOS2 is also present in several other cell types including hepatocytes, chondrocytes, endothelial cells and fibroblasts. The iNOS gene is mapped to human chromosome 17q11.2. iNOS is a dimeric flavoprotein with a heme group. It comprises the C-terminal reductase domain and an N-terminal oxygenase domain. |
| Specificity【特异性】 | Anti-Nitric Oxide Synthase, Inducible antibody, Mouse monoclonal reacts specifically with inducible-type nitric oxide synthase (iNOS, also termed macNOS and mNOS). It does not react with NOS derived from brain (bNOS) or with endothelial-type NOS (eNOS). The antibody recognizes iNOS from human, mouse, rat and plant origin. |
| Immunogen【免疫原】 | synthetic peptide corresponding to the C terminal region of nitric oxide synthase (NOS) of mouse macrophage origin (iNOS, also termed macNOS), conjugated to KLH |
| Application【应用】 | Anti-Nitric Oxide Synthase, Inducible antibody, Mouse monoclonal may be used:
|
| Biochem/physiol Actions【生化/生理作用】 | Inducible nitric oxide synthase (iNOS) or NOS2 catalyzes the oxidation of |
| Physical form【外形】 | Solution in 0.01 M phosphate buffered saline, pH 7.4, containing 15 mM sodium azide. |
半岛bd体育手机客户端
说明
| Storage and Stability【储存及稳定性】 | For continuous use, store at 2–8 ℃ for up to one month. For extended storage, freeze in working aliquots. Repeated freezing and thawing is not recommended. If slight turbidity occurs upon prolonged storage, clarify the solution by centrifugation before use. Working dilution samples should be discarded if not used within 12 hours. |
| Disclaimer【免责声明】 | Unless otherwise stated in our catalog, our products are intended for research use only and are not to be used for any other purpose, which includes but is not limited to, unauthorized commercial uses, in vitro diagnostic uses, ex vivo or in vivo therapeutic uses or any type of consumption or application to humans or animals. |
安全信息
| Storage Class Code【储存分类代码】 | 12 - Non Combustible Liquids |







