广州伟伯科技有限公司
您的位置:首页 > 半岛bd体育手机客户端 中心 > Anti-FMO2 antibody produced in rabbit
半岛bd体育手机客户端 搜索:

Anti-FMO2 antibody produced in rabbit

半岛bd体育手机客户端 编号: 3362876
规格: Prestige Antibodies?Powered by Atlas Antibodies, affinity isolated antibody, buffered aqueous glycerol solution
包装规格: 25 μL,100 μL
半岛bd体育手机客户端 类别: 进口试剂
品牌: Sigma-Aldrich
优惠价: 立即咨询
半岛bd体育手机客户端 价格
半岛bd体育手机客户端 编号 包装单位 单价(元) 国内现货 国外库存 询价单
3362876 25 μL 2430
3362876 100 μL 5840
半岛bd体育手机客户端 别名

Anti-FMO2 antibody produced in rabbit

Anti-flavin containing monooxygenase 2 (non-functional)

基本信息
Human Protein Atlas Number【人类蛋白质图谱编号】
HPA028261 Human Protein Atlas characterization data
Immunogen【免疫原】
flavin containing monooxygenase 2 (non-functional) recombinant protein epitope signature tag (PrEST)
Application【应用】
All Prestige Antibodies Powered by Atlas Antibodies are developed and validated by the Human Protein Atlas (HPA) project (www.proteinatlas.org)and as a result, are supported by the most extensive characterization in the industry.

The Human Protein Atlas project can be subdivided into three efforts: Human Tissue Atlas, Cancer Atlas, and Human Cell Atlas. The antibodies that have been generated in support of the Tissue and Cancer Atlas projects have been tested by immunohistochemistry against hundreds of normal and disease tissues and through the recent efforts of the Human Cell Atlas project, many have been characterized by immunofluorescence to map the human proteome not only at the tissue level but now at the subcellular level. These images and the collection of this vast data set can be viewed on the Human Protein Atlas (HPA) site by clicking on the Image Gallery link. To view these protocols and other useful information about Prestige Antibodies and the HPA, visit sigma.com/prestige.
Features and Benefits【特点和优势】
Prestige Antibodies ?are highly characterized and extensively validated antibodies with the added benefit of all available characterization data for each target being accessible via the Human Protein Atlas portal linked just below the product name at the top of this page. The uniqueness and low cross-reactivity of the Prestige Antibodies ?to other proteins are due to a thorough selection of antigen regions, affinity purification, and stringent selection. Prestige antigen controls are available for every corresponding Prestige Antibody and can be found in the linkage section.

Every Prestige Antibody is tested in the following ways:
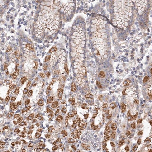
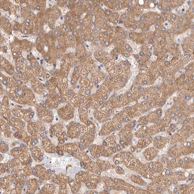
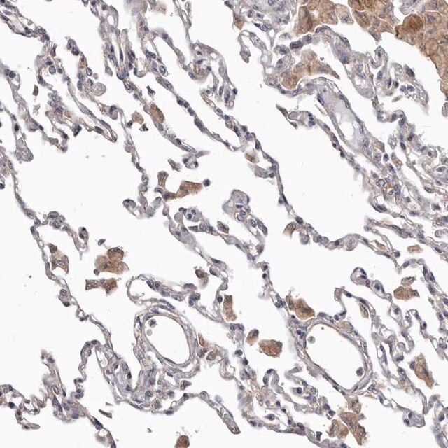
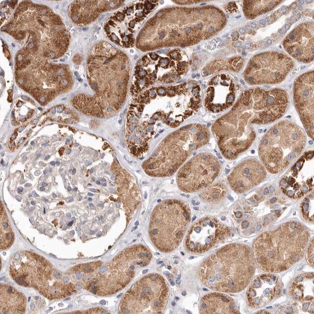
  • IHC tissue array of 44 normal human tissues and 20 of the most common cancer type tissues.
  • Protein array of 364 human recombinant protein fragments.
Linkage【联系】
Corresponding Antigen APREST76568.
Physical form【外形】
Solution in phosphate-buffered saline, pH 7.2, containing 40% glycerol and 0.02% sodium azide.
Legal Information【法律信息】
Prestige Antibodies is a registered trademark of sigma-aldrich Co. LLC
半岛bd体育手机客户端 性质
biological source【生物来源】
rabbit
Quality Level【质量水平】
100
conjugate【偶联物】
unconjugated
antibody form【抗体形式】
affinity isolated antibody
antibody product type
primary antibodies
clone【克隆】
polyclonal
product line【半岛bd体育手机客户端 线】
Prestige Antibodies ?Powered by Atlas Antibodies
form【形式】
buffered aqueous glycerol solution
species reactivity
human, mouse
packaging【包装】
antibody small pack of 25 μL
technique(s)
immunoblotting: 0.04-0.4 μg/mL
immunohistochemistry: 1:200-1:500
immunogen sequence【免疫原序列】
IFPTAELQARWVTRVFKGLCSLPSERTMMMDIIKRNEKRIDLFGESQSQTLQTNYVDYLDELALEIGAKPDFCSLLFKDPKLAVRLYFGPCN
UniProt accession no.【UniProt登记号】
Q99518
shipped in【运输】
wet ice
storage temp.【储存温度】
?20℃
Gene Information
human ... FMO2(2327)
安全信息
Storage Class Code【储存分类代码】
12 - Non Combustible Liquids
WGK
WGK 1
广州伟伯科技有限公司 版权所有 CopyRight ?2006-2025, All Rights Reserved
工信部备案号: 粤ICP备08114744号Page Run Time: 0.0106
Baidu
map