抗体 >> 其他抗体
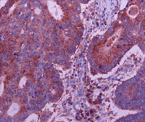
免疫球蛋白λ轻链多?抗体
|
交货朞 1?/span>
索取资料及报件/span>
产品介绍
靶标9p style="text-indent: 2em;">IGLL5
产品别名9p style="text-indent: 2em;">IGL IGLV VL-MAR IGLL5 immunoglobulin lambda like polypeptide 5 immunoglobulin lambda like polypeptide 5 immunoglobulin lambda-like polypeptide 5 G lambda-1 anti HBs antibody light-chain Fab fragment germline immunoglobulin lambda 1 immunoglobin anti-granzymeB light chain variable region immunoglobulin lambda 1 light chain immunoglobulin lambda 2 light chain immunoglobulin lambda 3 light chain immunoglobulin lambda chain immunoglobulin lambda light chain variable region immunoglobulin lambda-3 surrogate light chain immunoglobulin light chain variable region EM1-PPS-4-L1-1 omega light chain protein 14.1 免疫球蛋白λ轻链多? 背景信息9div style="text-indent: 2em;">This gene encodes one of the immunoglobulin lambda-like polypeptides. It is located within the immunoglobulin lambda locus but it does not require somatic rearrangement for expression. The first exon of this gene is unrelated to immunoglobulin variable genes; the second and third exons are the immunoglobulin lambda joining 1 and the immunoglobulin lambda constant 1 gene segments. Alternative splicing results in multiple transcript variants. [provided by RefSeq, May 2010], 宿主:Rbt |
相关产品
|



