抗体 >> 其他抗体
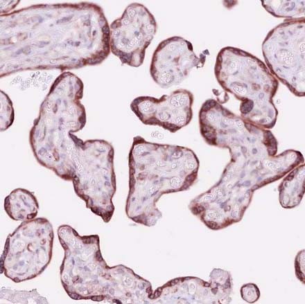
IGFLR1抗体
|
交货朞 1?/span>
索取资料及报件/span>
产品介绍
靶标9p style="text-indent: 2em;">IGFLR1
产品别名9p style="text-indent: 2em;">TMEM149 IGFLR1 IGF like family receptor 1 IGF like family receptor 1 IGF-like family receptor 1 transmembrane protein 149 背景信息9div style="text-indent: 2em;">IGFLR1 is a single-pass type I membrane protein. The exact function of IGFLR1 remains unknown. 宿主:Rbt |
相关产品
|



