抗体 >> 其他抗体
Capsl抗体
|
交货朞 1?/span>
索取资料及报件/span>
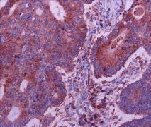
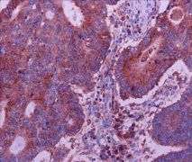
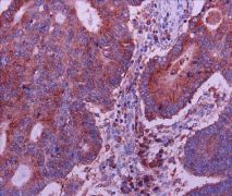
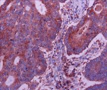
产品介绍
靶标9p style="text-indent: 2em;">Capsl
产品别名9p style="text-indent: 2em;">1700028N11Rik AW125205 Capsl calcyphosine-like calcyphosine-like calcyphosin-like protein Calcyphosine 宿主:Rbt |
相关产品
|



