抗体 >> 其他抗体
锌指蛋白350/乳腺癌易感基?结合蛋白抗体
|
交货朞 1?/span>
索取资料及报件/span>
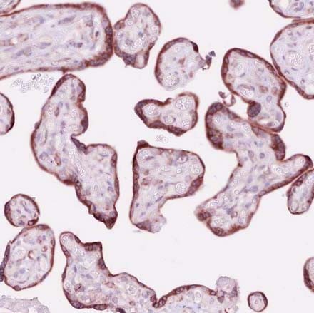
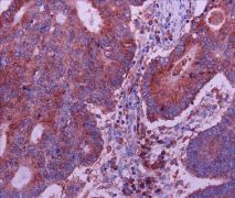
产品介绍
靶标9p style="text-indent: 2em;">ZNF350
产品别名9p style="text-indent: 2em;">ZBRK1 ZFQR ZNF350 zinc finger protein 350 zinc finger protein 350 zinc finger protein 350 KRAB zinc finger protein ZFQR zinc finger and BRCA1-interacting protein with a KRAB domain 1 zinc finger protein ZBRK1 锌指蛋白350/乳腺癌易感基?结合蛋白 背景信息9div style="text-indent: 2em;">The transcpritional repressor ZBRK1, also designated zinc finger and BRCA1-interacting protein with a KRAB domain 1 or zinc finger protein 350, belongs to the Kr??ppel C2H2-type zinc-finger protein family of proteins. ZBRK1 localizes mainly to the nucleus and may be associated with the nuclear matrix. It is a widely expressed protein that binds to BRCA1. ZBRK1 plays an important role in transcriptional regulation. Likely targets of gene regulation are DNA damage response genes, which effect the survival and growth control of cells. ZBRK1 contains an N-terminal KRAB domain, a C-terminal BRCA1-binding region and eight central zinc-fingers. 宿主:Rbt |
相关产品
|



