抗体 >> 其他抗体
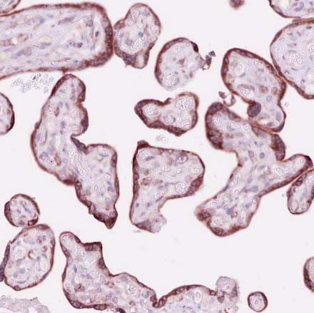
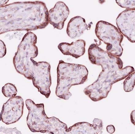
WDR35蛋白抗体
|
交货朞 1?/span>
索取资料及报件/span>
产品介绍
靶标9p style="text-indent: 2em;">WDR35
产品别名9p style="text-indent: 2em;">CED2 FAP118 IFT121 IFTA1 SRTD7 WDR35 WD repeat domain 35 WD repeat domain 35 WD repeat-containing protein 35 intraflagellar transport protein 121 homolog naofen WDR35蛋白 背景信息9div style="text-indent: 2em;">This gene encodes a member of the WD repeat protein family. WD repeats are minimally conserved regions of approximately 40 amino acids typically bracketed by gly-his and trp-asp (GH-WD), which may facilitate formation of heterotrimeric or multiprotein complexes. Members of this family are involved in a variety of cellular processes, including cell cycle progression, signal transduction, apoptosis, and gene regulation. Multiple alternatively spliced transcript variants encoding distinct isoforms have been found for this gene. Two patients with Sensenbrenner syndrome / cranioectodermal dysplasia (CED) were identified with mutations in this gene, consistent with a possible ciliary function. 宿主:Rbt |
相关产品
|



