抗体 >> 其他抗体
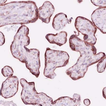
SAMD13蛋白抗体
|
交货朞 1?/span>
索取资料及报件/span>
产品介绍
靶标9p style="text-indent: 2em;">Samd13
产品别名9p style="text-indent: 2em;">Djl rDJL Samd13 sterile alpha motif domain containing 13 sterile alpha motif domain containing 13 sterile alpha motif domain-containing protein 13 dnaj-like protein SAMD13蛋白 宿主:Rbt |
相关产品
|



