抗体 >> 其他抗体
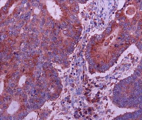
转录延伸因子A2(TCEA2)抗体
|
交货朞 1?/span>
索取资料及报件/span>
产品介绍
靶标9p style="text-indent: 2em;">TCEA2
产品别名9p style="text-indent: 2em;">TFIIS TCEA2 transcription elongation factor A2 transcription elongation factor A2 transcription elongation factor A protein 2 testis-specific S-II transcription elongation factor A (SII), 2 transcription elongation factor S-II protein 2 transcription elongation factor TFIIS.1 transcription elongation factor TFIIS.l 转录延伸因子A2(TCEA2) 背景信息9div style="text-indent: 2em;">The protein encoded by this gene is found in the nucleus, where it functions as an SII class transcription elongation factor. Elongation factors in this class are responsible for releasing RNA polymerase II ternary complexes from transcriptional arrest at template-encoded arresting sites. The encoded protein has been shown to interact with general transcription factor IIB, a basal transcription factor. Two transcript variants encoding different isoforms have been found for this gene. 宿主:Rbt |
相关产品
|



