抗体 >> 其他抗体
髓细?淋巴细胞或混合谱系白血病蛋?抗体
|
交货朞 1?/span>
索取资料及报件/span>
产品介绍
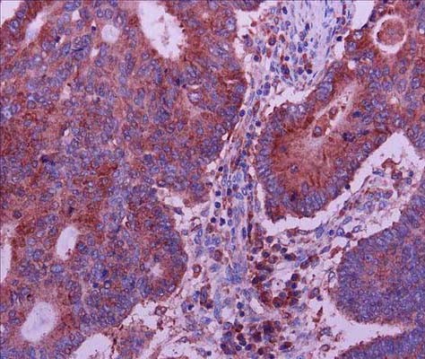
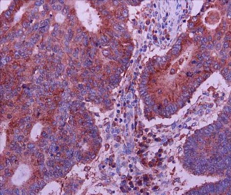
靶标9p style="text-indent: 2em;">MLLT6
产品别名9p style="text-indent: 2em;">AF17 MLLT6 MLLT6, PHD finger containing MLLT6, PHD finger containing protein AF-17 ALL1-fused gene from chromosome 17 protein KMT2A-MLLT6 fusion protein KMT2A/MLLT6 fusion MLLT6, PHD finger domain containing MLLT6/KMT2A fusion Myeloid/lymphoid or mixed-lineage leukemia, translocated to, 6 myeloid/lymphoid or mixed-lineage leukemia (trithorax homolog); translocated to, 6 myeloid/lymphoid or mixed-lineage leukemia (trithorax homolog, Drosophila); translocated to, 6 myeloid/lymphoid or mixed-lineage leukemia; translocated to, 6 trithorax homolog 髓细?淋巴细胞或混合谱系白血病蛋? 背景信息9div style="text-indent: 2em;">AF17 was discovered as part of a genetic rearrangement in the MLL (mixed lineage leukemia) gene associated with acute myeloid leukemia. AF17 is also known as MLLT6. 宿主:Rbt |
相关产品
|



