抗体 >> 其他抗体
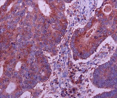
T细胞白血病淋巴瘤蛋白3抗体
|
交货朞 1?/span>
索取资料及报件/span>
产品介绍
靶标9p style="text-indent: 2em;">TLX1
产品别名9p style="text-indent: 2em;">HOX11 TCL3 TLX1 T cell leukemia homeobox 1 T cell leukemia homeobox 1 T-cell leukemia homeobox protein 1 T-cell leukemia/lymphoma protein 3 homeo box-11 (T-cell leukemia-3 associated breakpoint, homologous to Drosophila Notch) homeobox protein Hox-11 proto-oncogene TCL-3 T细胞白血病淋巴瘤蛋白3 背景信息9div style="text-indent: 2em;">This gene encodes a nuclear transcription factor that belongs to the NK-linked or NK-like (NKL) subfamily of homeobox genes. The encoded protein is required for normal development of the spleen during embryogenesis. This protein is also involved in specification of neuronal cell fates. Ectopic expression of this gene due to chromosomal translocations is associated with certain T-cell acute lymphoblastic leukemias. Alternate splicing results in multiple transcript variants. [provided by RefSeq, Sep 2010], 宿主:Rbt |
相关产品
|



