抗体 >> 其他抗体
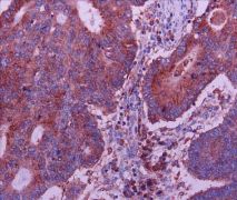
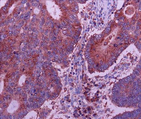
G氨基丁酸受体pi/GABAA Rπ抗体
|
交货朞 1?/span>
索取资料及报件/span>
产品介绍
靶标9p style="text-indent: 2em;">GABRP
产品别名9p style="text-indent: 2em;">GABRP gamma-aminobutyric acid type A receptor subunit pi gamma-aminobutyric acid type A receptor subunit pi gamma-aminobutyric acid receptor subunit pi GABA(A) receptor subunit pi GABA(A) receptor, pi gamma-aminobutyric acid (GABA) A receptor, pi gamma-aminobutyric acid type A receptor pi subunit G氨基丁酸受体pi/GABAA Rπ 背景信息9div style="text-indent: 2em;">GAD-65 and GAD-67, glutamate decarboxylases function to catalyze the production of GABA (Gamma-aminobutyric acid). In the central nervous system GABA functions as the main inhibitory transmitter by increasing a Cl-conductance that inhibits neuronal firing. GABA has been shown to activate both ionotropic (GABAA) and metabotropic (GABAB) receptors as well as a third class of receptors called GABAC. Both GABAA and GABAC are ligand-gated ion channels, however, they are structurally and functionally distinct. 宿主:Rbt |
相关产品
|



